Learn how to plan and prep lower porcelain veneers for a complete smile makeover!

"Get confident with prepping lower veneers...the missing piece in most smile makeovers!"

Learn how to plan and prep lower porcelain veneers for a complete smile makeover!

"Get confident with prepping lower veneers...the missing piece in most smile makeovers!"

"Getting confident with doing lower porcelain veneers creates the ultimate smile makeover for patients" -Dr. Marvin Berlin

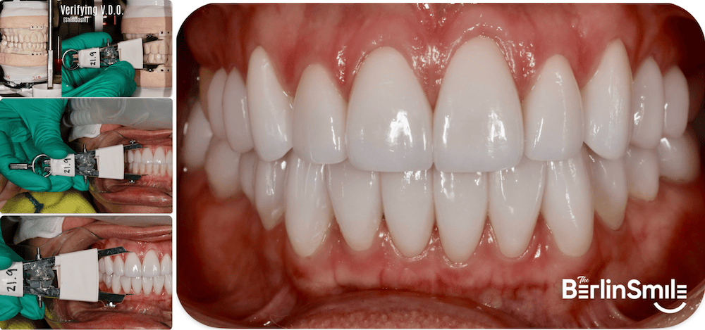
The missing half- Lower porcelain veneer treatment sequence!
☑️ Why Lower Porcelain Veneers Matter to create esthetic harmony and how to present them to patients for the ideal smile finish!
☑️ Learn the Lower Veneer Prep Protocol- learn Dr. Berlin's depth cuts, reduction guides, and enamel preservation techniques that guarantee stronger bonds!
☑️ Learn to Manage Occlusion and Opening the Bite- see how lower veneers protect the uppers and why they're so critical for a mutually protected occlusion for uppers and lowers! 
Learn A Step By Step Formula To Build A Practice From Scratch Or Evaluate A Potential Existing Practice To Buy
📣 When? Click Below And Pick A Convenient Time To Watch This Free Training 
CUSTOM JAVASCRIPT / HTML

NOTE- Please only register if you are a Dentist or Dental Professional- this is a specific training for Dentists only.

"Getting confident with doing lower porcelain veneers creates the ultimate smile makeover for patients" -Dr. Marvin Berlin

📣 When? Click Below And Pick A Convenient Time To Watch This Free Training 
CUSTOM JAVASCRIPT / HTML
The missing half- Lower porcelain veneer treatment sequence!
☑️ Why Lower Porcelain Veneers Matter to create esthetic harmony and how to present them to patients for the ideal smile finish!
☑️ Learn the Lower Veneer Prep Protocol- learn Dr. Berlin's depth cuts, reduction guides, and enamel preservation techniques that guarantee stronger bonds!
☑️ Learn to Manage Occlusion and Opening the Bite- see how lower veneers protect the uppers and why they're so critical for a mutually protected occlusion for uppers and lowers! 
CUSTOM JAVASCRIPT / HTML

NOTE- Please only register if you are a Dentist or Dental Professional- this is a specific training for Dentists only.

"Don't let endo patients walk out of your practice"

 Eliminate the Fear of Doing Endo In Your practice! Get tactical guidance on the most highly Profitable Procedure in Dentistry
☑️ Learn how to diagnose and refine your case selection to keep endo cases "in house"- adding just one endo case a week can change your practice. 
☑️ Learn the 3 key treatment steps for predictable Endo- you'll see how to access the canals, locate them, and properly irrigate and instrument 
☑️ Irrigation and Instrumentation Best Practices- .
Learn A Step By Step Formula To Build A Practice From Scratch Or Evaluate A Potential Existing Practice To Buy
📣 Click the button below and pick a convenient time for you to watch this free training 

NOTE- Please only register if you are a Dentist or Dental Professional- this is a specific training for Dentists only.

CUSTOM JAVASCRIPT / HTML
☑️ Create Your Own Stunning Case Presentations- iwhen you present treatment chairside, your own case pictures are worth millions in case starts!  
☑️ Build Authority Status With Your Patients- your cases will speak for themself and patients will want YOU to do their dentistry when they can "see" what you've done before. 
☑️ Build Your Brand and Legacy- In these virtual times- use these pictures to help your patients make treatment decisions. Don't let the cases you do go to waste without capturing their "wow" factor.  
📣 Click The Button Below And Pick A Convenient Time For You To Watch
CUSTOM JAVASCRIPT / HTML
 Learn A Step By Step, Simple SYSTEM To Begin Taking Gorgeous Photos In Your Practice!
Making Dental Photography Simple!

Hosted by: Dr. Rinesh Ganatra, Dental Practice Mastery, Inc.

Join us THIS WEEK!

Presented by: Dr. Marvin Berlin- Creator of the Berlin Smile™ and Porcelain Veneer Course™!   


 Avoid the "Half smile" and confidently recommend lower veneers to patients for ideal esthetic outcomes!

Why Lower Veneers Matter!

☑️ Learn how to create esthetic harmony in your smiles. Uppers alone can leave the smile incomplete. 

☑️ Worn, dark, or misshapen lowers can undermine the final result. Avoid the esthetic mismatch that kills the "WOW" effect. 

☑️ Properly restored lowers not only complete the smile, but also protect uppers, create even bite forces, and improve long-term stability.

☑️ Learn the protocols to ensure upper and lower veneers match to guarantee a consistent shade, material, and lab work! 

☑️ Why most dentist skip the lower veneer treatment plan and how it's costing them case acceptance success. 

CUSTOM JAVASCRIPT / HTML

Endodontic Diagnostics

☑️ Learn how to use diagnostic tools to predictably diagnose and schedule endo cases in your practice every week.  

☑️ Learn the effective use of the "open and med technique" to immediately comfort your pain patients and schedule them for an "in-house" RCT. 

☑️ Eliminate the "fear of the unknown" with endo cases. 

Learn the Lower Veneer Prep Protocol

☑️ Learn how to preserve lower veneer enamel!  Learn prep designs to stay in enamel for optimal bond strength! Lowers are not upside-down smaller uppers.

☑️ Learn the 5 keys to creating ideal lower anterior anatomy- from line angles, embrasures, to finish lines! These are the keys to a stunning smile makeover! 

☑️ 3 clinical decisions that determine the ideal incisal edge position for lower incisal display at rest and in function, WHICH avoids over- or under-reducing. 

CUSTOM JAVASCRIPT / HTML

Learn to Manage Occlusion and Opening the Bite

☑️ Learn WHY lower veneers protect uppers. Properly restored lowers drastically enhance the esthetics of your patient, but also protect your uppers. 

☑️ Learn Dr. Berlin's proven checklist for safely opening the bite. Get a clear repeatable system to alter vertical dimension, and create space for virtually prep-less lower veneers. 

☑️ Learn the 5 keys to lower veneer occlusal stability and how each one impacts lower veneer success.  

☑️ Understand how anterior guidance, esthetics, phonetics, the occlusal plane, and long-term stability lead to the ultimate success with lower veneers! 

CUSTOM JAVASCRIPT / HTML

"Getting confident with prepping and offering lower veneers for a full case finish creates the ultimate smile makeover for your cosmetic cases, I'll teach you my predictable lower porcelain veneer protocol"- Dr. Marvin Berlin

"Mastering your temporaries for cosmetic cases creates patients confidence, treatment predictability, and referrals for cosmetic dentistry cases! " - Dr. Marvin Berlin

 Avoid the "Half smile" and confidently recommend lower veneers to patients for ideal esthetic outcomes!

Why Lower Veneers Matter!

☑️ Learn how to create esthetic harmony in your smiles. Uppers alone can leave the smile incomplete. 

☑️ Worn, dark, or misshapen lowers can undermine the final result. Avoid the esthetic mismatch that kills the "WOW" effect. 

☑️ Properly restored lowers not only complete the smile, but also protect uppers, create even bite forces, and improve long-term stability.

☑️ Learn the protocols to ensure upper and lower veneers match to guarantee a consistent shade, material, and lab work! 

☑️ Why most dentist skip the lower veneer treatment plan and how it's costing them case acceptance success. 

CUSTOM JAVASCRIPT / HTML

Learn the Lower Porcelain Veneer Prep Protocol

☑️ Learn how to preserve lower veneer enamel!  Learn prep designs to stay in enamel for optimal bond strength! Lowers are not upside-down smaller uppers.

☑️ Learn the 5 keys to creating ideal lower anterior anatomy- from line angles, embrasures, to finish lines! These are the keys to a stunning smile makeover! 

☑️ 3 clinical decisions that determine the ideal incisal edge position for lower incisal display at rest and in function, WHICH avoids over- or under-reducing. 

CUSTOM JAVASCRIPT / HTML

Learn to Manage Occlusion and Opening the Bite

☑️ Learn WHY lower veneers protect uppers. Properly restored lowers drastically enhance the esthetics of your patient, but also protect your uppers. 

☑️ Learn Dr. Berlin's proven checklist for safely opening the bite. Get a clear repeatable system to alter vertical dimension, and create space for virtually prep-less lower veneers. 

☑️ Learn the 5 keys to lower veneer occlusal stability and how each one impacts lower veneer success.  

☑️ Understand how anterior guidance, esthetics, phonetics, the occlusal plane, and long-term stability lead to the ultimate success with lower veneers! 

CUSTOM JAVASCRIPT / HTML

"Getting confident with prepping and offering lower veneers for a full case finish that creates the ultimate smile makeover for your cosmetic cases. I'll teach you my predictable lower porcelain veneer protocol."- Dr. Marvin Berlin

©2025 Dental Practice Mastery, Inc. | Privacy Policy | Terms and Conditions